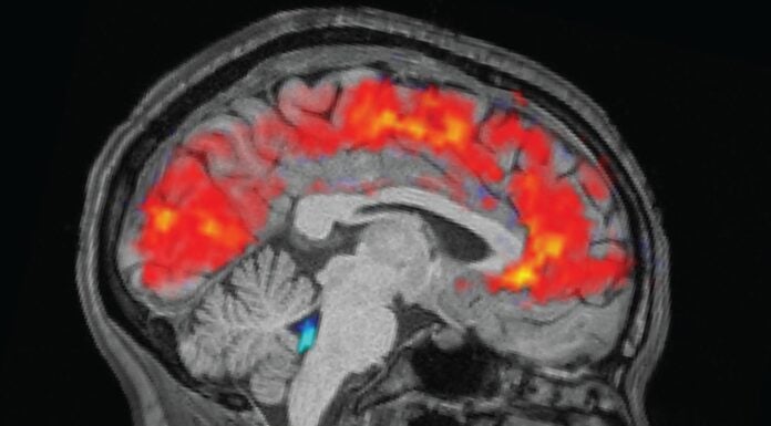
Знакомая борьба за концентрацию после бессонной ночи — это не просто ментальное переутомление; это фундаментальный сдвиг в том, как мозг регулирует свою внутреннюю среду. Новое исследование, опубликованное в Nature Neuroscience, показывает, что сильное лишение сна вызывает масштабные изменения в циркуляции спинномозговой жидкости (СМЖ), расширении зрачков и активности мозговых волн, все происходящее одновременно с потерей внимания. Это не просто недостаток бодрости; это физиологический процесс, похожий на то, как мозг временно входит в состояние, похожее на сон, оставаясь при этом бодрствующим.
Динамика жидкости при истощении
Исследование, проведенное учеными из MIT, отслеживало 26 здоровых взрослых как в хорошо отдохнувшем, так и в лишенном сна состоянии. Участники, которых держали без сна всю ночь, демонстрировали большие импульсы СМЖ, циркулирующей в их мозге, совпадающие с периодами невнимательности. Этот скачок жидкости, обычно связанный с глубокой стадией медленного сна (non-REM), был напрямую связан с изменениями размера зрачков: расширение перед невнимательностью, сужение по мере возвращения концентрации. Команда использовала электроэнцефалографию (ЭЭГ) и функциональную магнитно-резонансную томографию (фМРТ), чтобы сопоставить эти изменения в реальном времени, показывая, что провалы внимания — это не просто замедление нейронной активности; это движение жидкости.
Почему это важно?
Долгие годы лишение сна понималось как когнитивный дефицит. Это исследование демонстрирует, что это системное физиологическое нарушение. Мозг не просто чувствует усталость; он активно переходит в состояние, напоминающее ранние стадии сна, выводя отходы и регулируя внутреннее давление. Это критически важно, потому что это говорит о том, что сильная потеря сна — это не просто нарушение мышления; это изменение фундаментальных рабочих условий мозга.
Связь с очисткой мозга от отходов
Одна из возможных причин этого скачка жидкости — система очистки мозга от отходов. СМЖ необходима для вывода метаболических побочных продуктов, накапливающихся во время бодрствования. Сон — это время, когда этот процесс наиболее эффективен, и мозг может пытаться компенсировать потерю сна, заставляя жидкость вымываться во время бодрствования. Однако точный механизм и долгосрочные последствия остаются неясными.
Автономный контроль и будущие последствия
Майкл Чи, директор Центра сна и познания Национального университета Сингапура, отмечает, что автономная нервная система — ответственная за бессознательные функции организма — вероятно, управляет этими изменениями. Это говорит о том, что лишение сна — это не просто когнитивная проблема; это глубоко укоренившийся физиологический ответ, контролируемый системами, о которых мы редко сознательно задумываемся.
Будущие исследования могут изучить, можно ли манипулировать потоком СМЖ или автономными реакциями, чтобы смягчить последствия лишения сна. Более того, изучение этих закономерностей у людей с хроническими расстройствами сна может выявить новые терапевтические цели. Реакция мозга на истощение гораздо сложнее, чем считалось ранее, и это исследование — важный шаг к разгадке его сложных механизмов.
В заключение, сильное лишение сна — это не просто недостаток бодрости; это системный физиологический сдвиг, который фундаментально меняет внутреннюю среду мозга. Наблюдаемая динамика жидкости, в сочетании с автономным контролем, указывает на более глубокую связь между сном, очисткой от отходов и когнитивной функцией.
























